Результаты отбеливания Zoom 4: фото до и после
Отбеливание зубов Zoom 4 — один из самых популярных запросов среди пациентов, которые хотят быстро и безопасно осветлить улыбку.
Zoom 4 основан на использовании специального геля и активации холодным светом. Процедура проходит под контролем врача: отбеливающий состав наносится на зубы, а затем активируется лампой Zoom, что позволяет осветлить зубы сразу на несколько тонов всего за 1–1,5 часа. Как правило, Zoom 4 позволяет осветлить зубы на 4–8 тонов (по шкале VITA), а иногда и больше — всё зависит от исходного цвета эмали.
Фото до
Фото после
До и после — Zoom 4
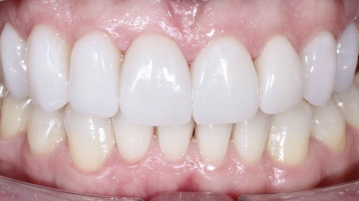
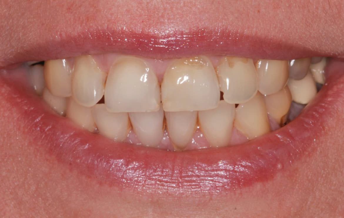
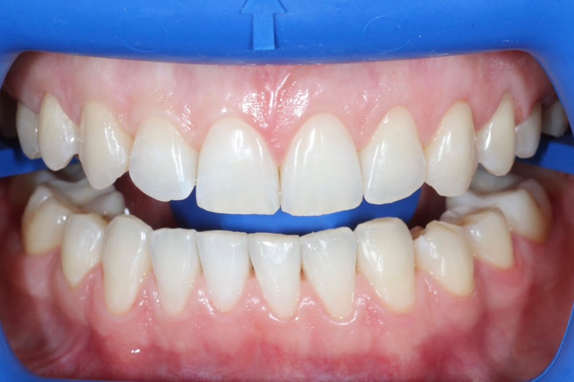
До
Жёлтый или тёплый исходный оттенок, пигментация от кофе, вина и курения, заметное потускнение эмали.
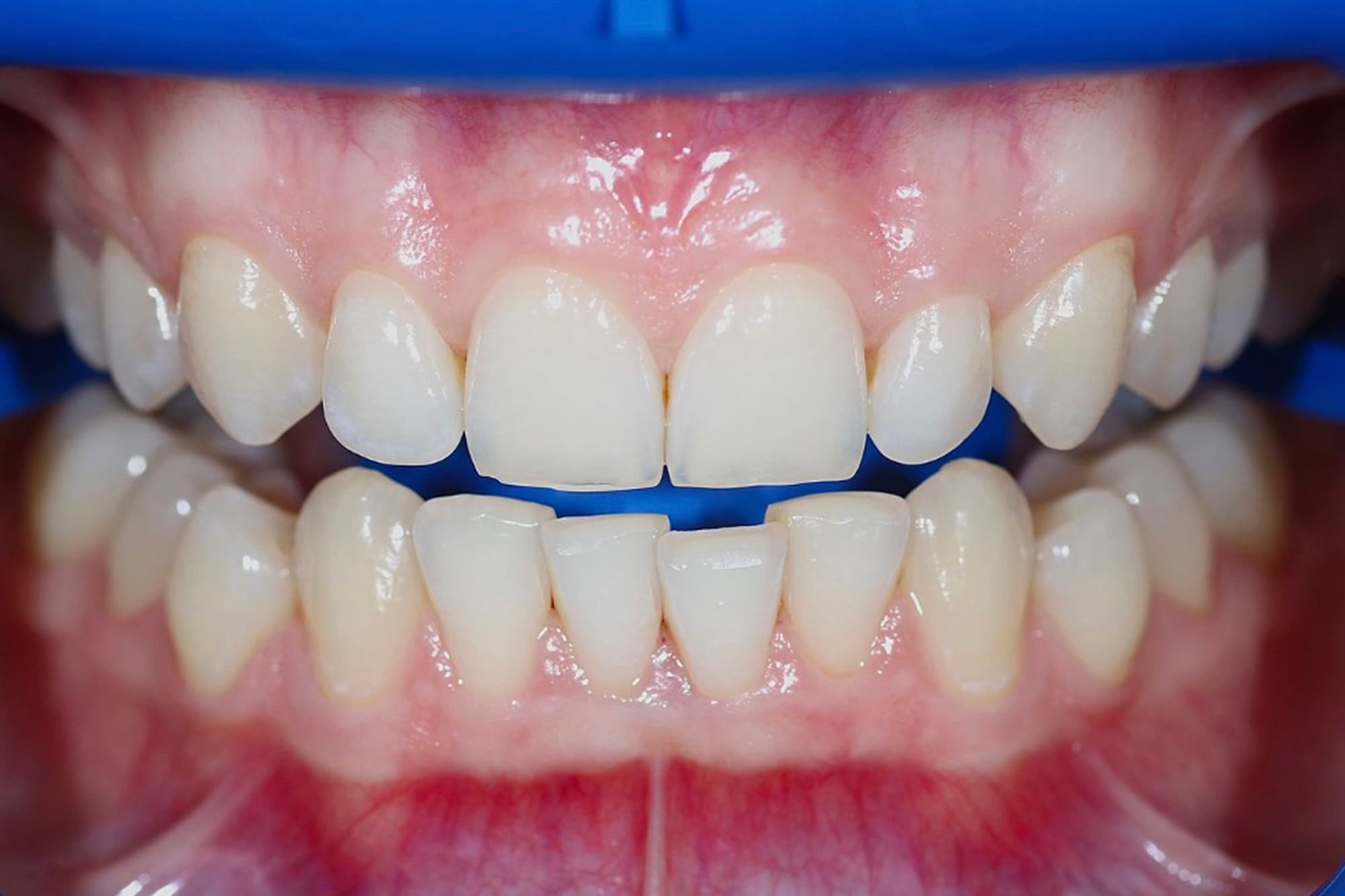
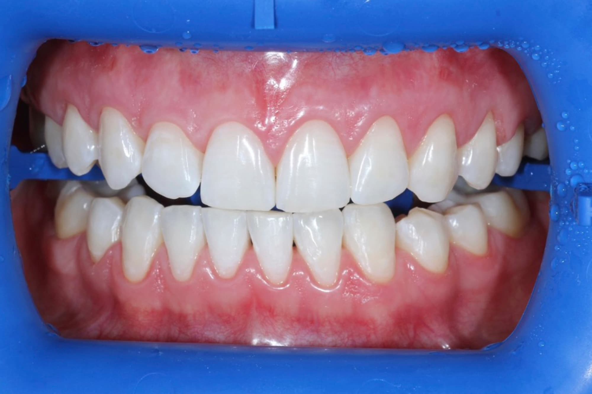
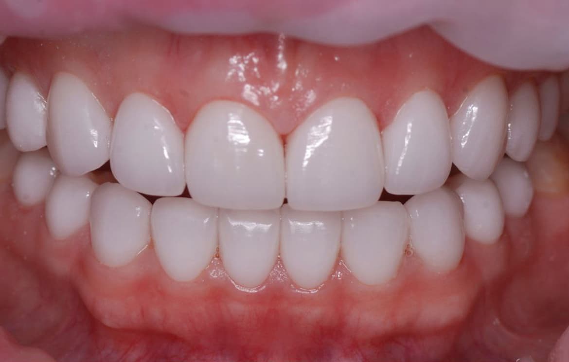
После
Осветление на 4–8 тонов по шкале VITA за 1–1,5 часа, выровненный цвет и выраженный блеск под контролем врача.

Фото до
Фото после
Фото до
Фото после
Фото до
Фото после

