DH Centre
DHC
Цифровая стоматология

Лечение кариеса трех зубов

20 керамических виниров E.max, цвет Bleach 1

Результат лечения

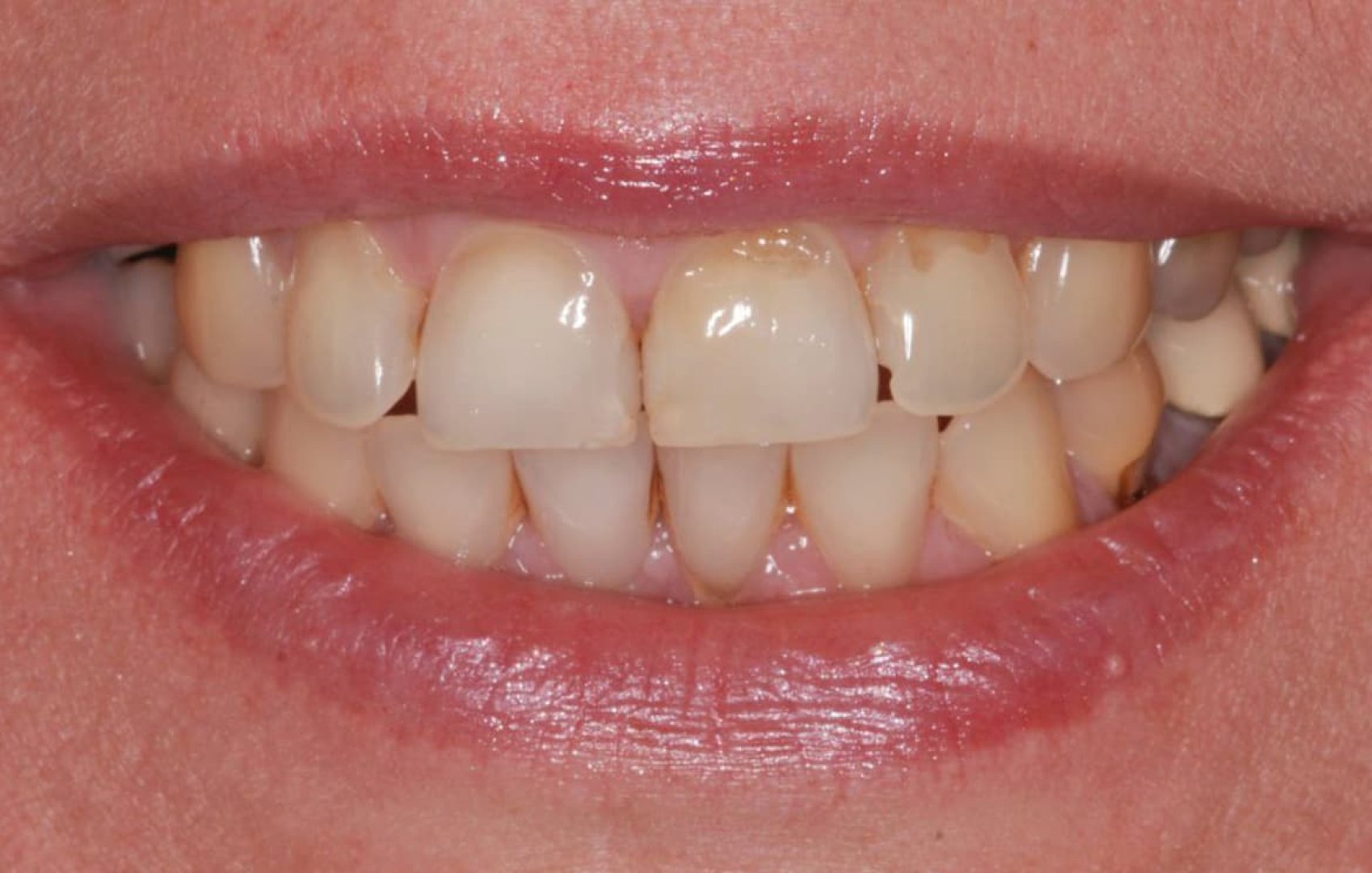
До

До

Лечение кариеса трех зубов до
После

После

Лечение кариеса трех зубов после

Проблема пациента

20 керамических виниров E.max, цвет Bleach 1

Результат

Лечение выполнено врачом Сафонова (Шакирова) Ирина Алексеевна в направлении "Терапевтическое лечение".

Кейс демонстрирует результат по услуге "Виниры e.max" в клинике DHC.

О кейсе

20 керамических виниров E.max, цвет Bleach 1

Услуга: Виниры e.max.

Врач: Сафонова (Шакирова) Ирина Алексеевна (Терапевтическое лечение).

Записаться онлайн