DH Centre
DHC
Цифровая стоматология

Керамическая вкладка на нижний зуб

Восстановление зуба на нижней челюсти с помощью керамической вкладки

Результат лечения

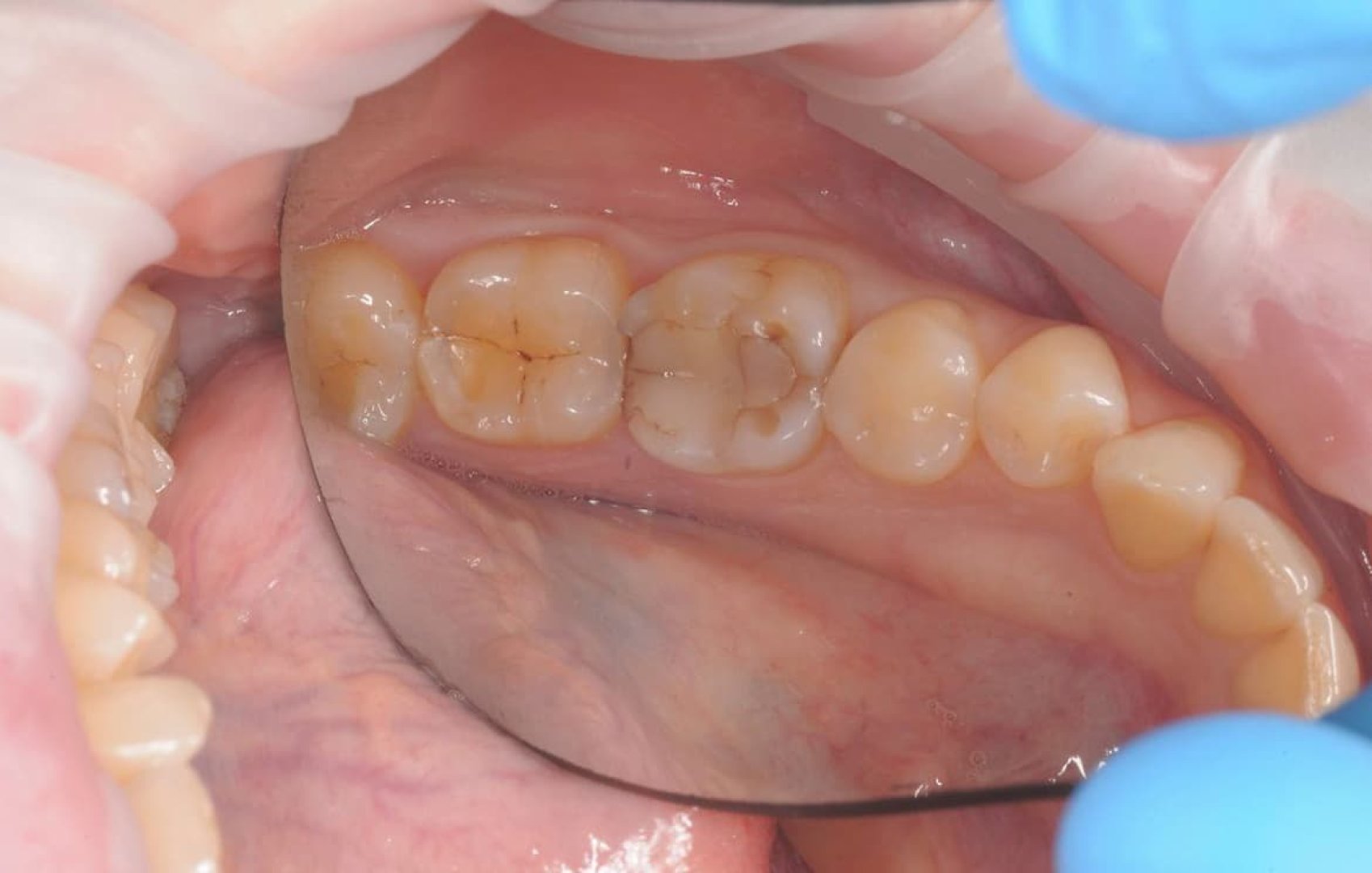
До

До

Керамическая вкладка на нижний зуб до
После

После

Керамическая вкладка на нижний зуб после

Проблема пациента

Восстановление зуба на нижней челюсти с помощью керамической вкладки

Результат

Лечение выполнено врачом Гурова Марина Алексеевна в направлении "Терапевтическое лечение".

Кейс демонстрирует результат по услуге "Керамическая накладка" в клинике DHC.

О кейсе

Восстановление зуба на нижней челюсти с помощью керамической вкладки

Услуга: Керамическая накладка.

Врач: Гурова Марина Алексеевна (Терапевтическое лечение).

Записаться онлайн

Стоимость лечения

Керамическая накладка

40 000 ₽

Записаться на приём

Онлайн или по телефону

Беспроцентная рассрочка

Доступна рассрочка на лечение

Онлайн запись