DH Centre
DHC
Цифровая стоматология

Восстановление зубных рядов реставраций и коронками

Восстановление зубных рядов с помощью реставраций и коронок из диоксида циркония

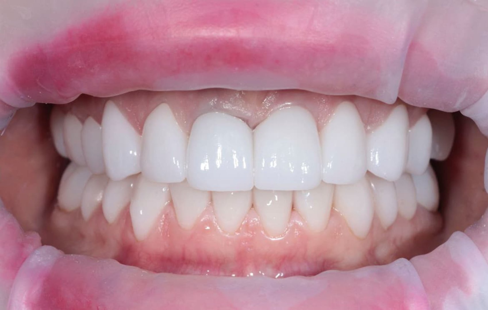
Результат лечения

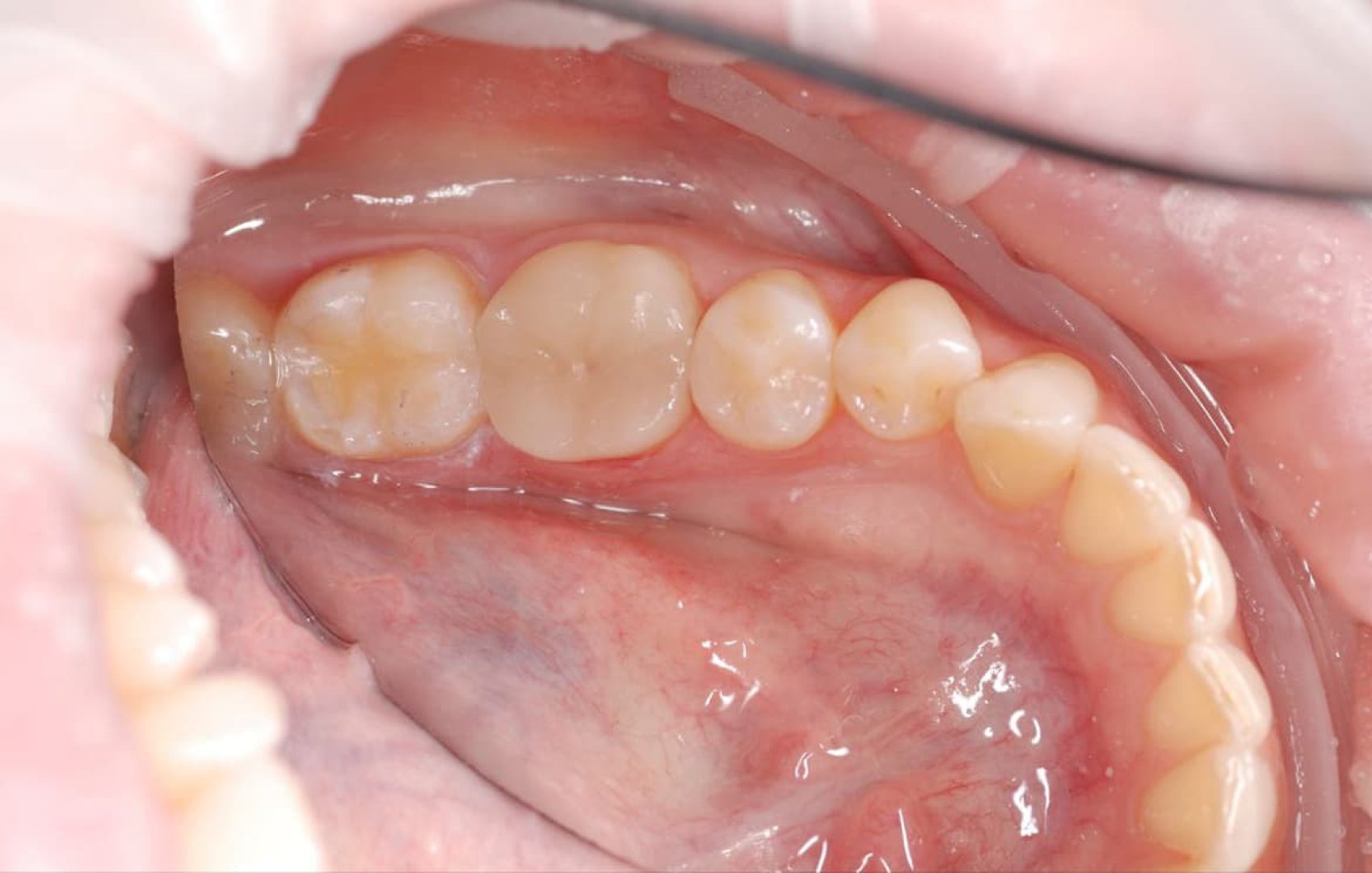
До

До

Восстановление зубных рядов реставраций и коронками до
После

После

Восстановление зубных рядов реставраций и коронками после

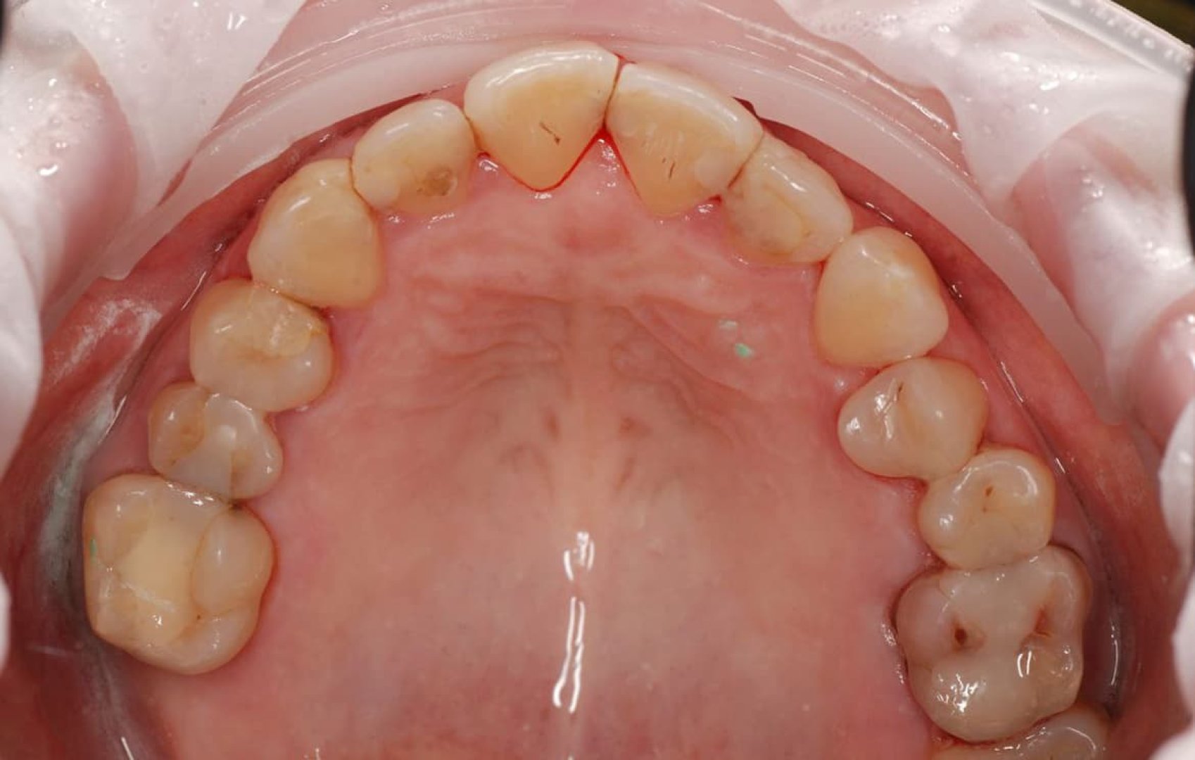
Проблема пациента

Восстановление зубных рядов с помощью реставраций и коронок из диоксида циркония

Результат

Лечение выполнено врачом Гурова Марина Алексеевна в направлении "Терапевтическое лечение".

Кейс демонстрирует результат по услуге "Циркониевая коронка" в клинике DHC.

О кейсе

Восстановление зубных рядов с помощью реставраций и коронок из диоксида циркония

Услуга: Циркониевая коронка.

Врач: Гурова Марина Алексеевна (Терапевтическое лечение).

Записаться онлайн

Стоимость лечения

Циркониевая коронка

39 500 ₽

Записаться на приём

Онлайн или по телефону

Беспроцентная рассрочка

Доступна рассрочка на лечение

Онлайн запись