DH Centre
DHC
Цифровая стоматология

Замена коронок на циркониевые

Замена старых коронок на новые коронки из диоксида циркония, включая работу с височно-нижнечелюстным суставом

Результат лечения

До

До

Замена коронок на циркониевые до
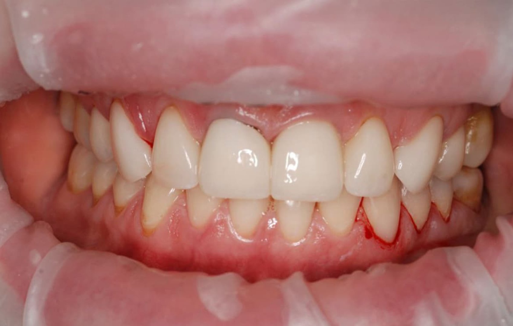
После

После

Замена коронок на циркониевые после

Проблема пациента

Замена старых коронок на новые коронки из диоксида циркония, включая работу с височно-нижнечелюстным суставом

Результат

Лечение выполнено врачом Гурова Марина Алексеевна в направлении "Терапевтическое лечение".

Кейс демонстрирует результат по услуге "Циркониевая коронка" в клинике DHC.

О кейсе

Замена старых коронок на новые коронки из диоксида циркония, включая работу с височно-нижнечелюстным суставом

Услуга: Циркониевая коронка.

Врач: Гурова Марина Алексеевна (Терапевтическое лечение).

Записаться онлайн

Стоимость лечения

Циркониевая коронка

39 500 ₽

Записаться на приём

Онлайн или по телефону

Беспроцентная рассрочка

Доступна рассрочка на лечение

Онлайн запись