DH Centre
DHC
Цифровая стоматология

Замена старых коронок на циркониевые с реставрацией

Замена старых коронок на новые коронки из диоксида циркония, реставрация и восстановление утраченных зубов коронками на имплантатах

Результат лечения

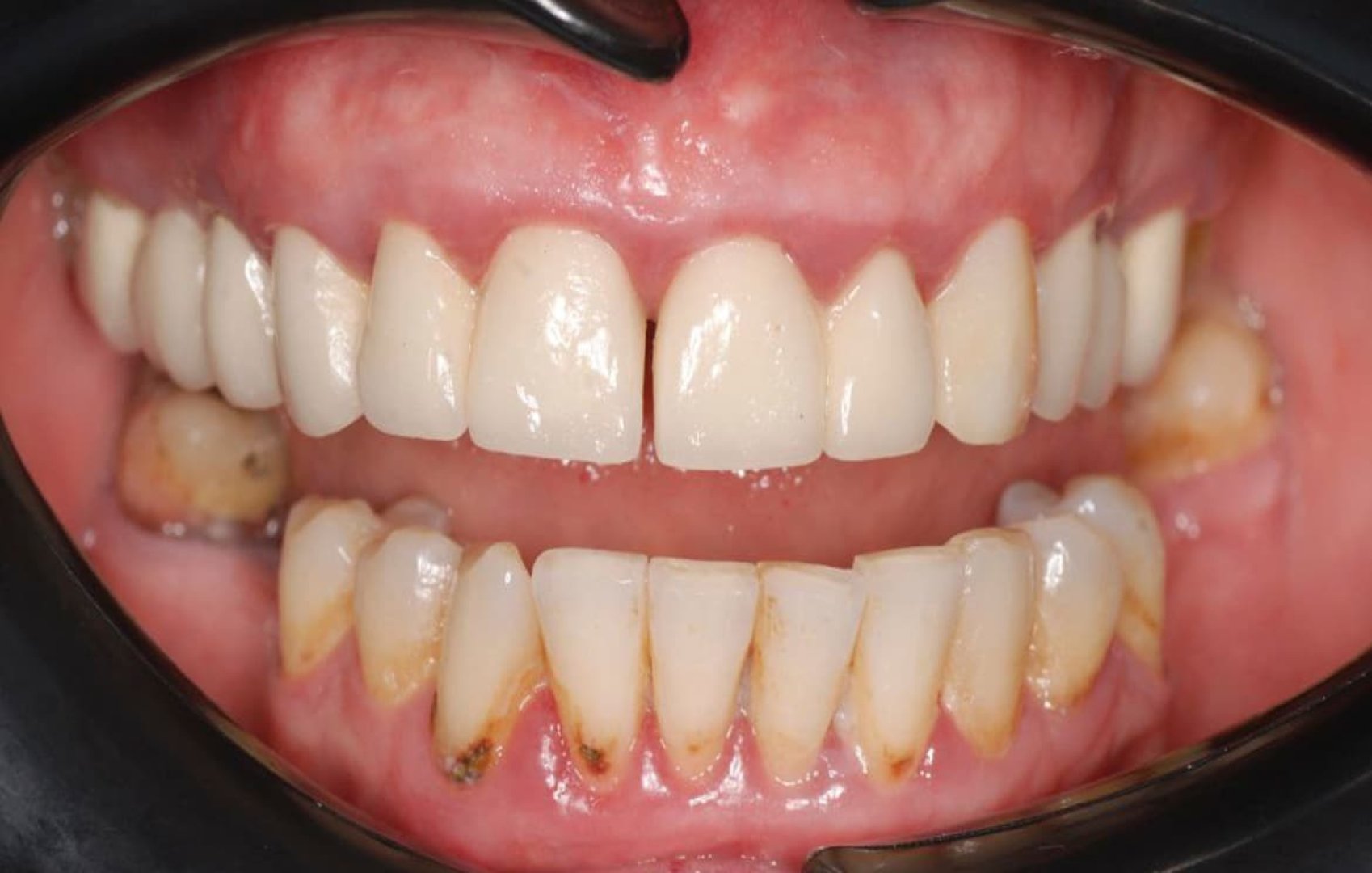
До

До

Замена старых коронок на циркониевые с реставрацией до
После

После

Замена старых коронок на циркониевые с реставрацией после

Проблема пациента

Замена старых коронок на новые коронки из диоксида циркония, реставрация и восстановление утраченных зубов коронками на имплантатах

Результат

Лечение выполнено врачом Гурова Марина Алексеевна в направлении "Терапевтическое лечение".

Кейс демонстрирует результат по услуге "Циркониевая коронка" в клинике DHC.

О кейсе

Замена старых коронок на новые коронки из диоксида циркония, реставрация и восстановление утраченных зубов коронками на имплантатах

Услуга: Циркониевая коронка.

Врач: Гурова Марина Алексеевна (Терапевтическое лечение).

Записаться онлайн

Стоимость лечения

Циркониевая коронка

39 500 ₽

Записаться на приём

Онлайн или по телефону

Беспроцентная рассрочка

Доступна рассрочка на лечение

Онлайн запись