Наши работы
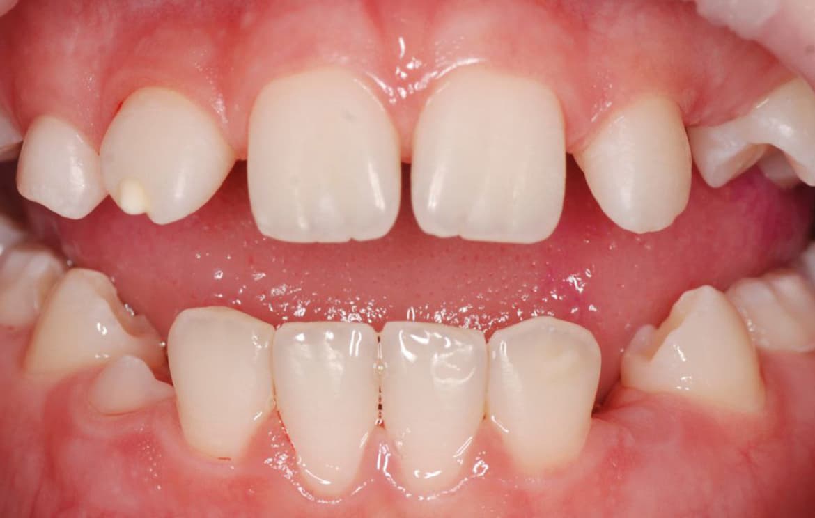
Профессиональная гигиена и фторирование у ребёнка 7 лет
.
Терапевтическое лечение
Сафонова (Шакирова) Ирина Алексеевна
Терапевт, ортопед
Детская гигиена
5 300 ₽
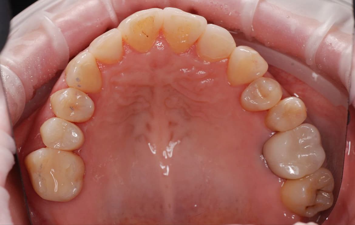
Лечение кариеса трех зубов
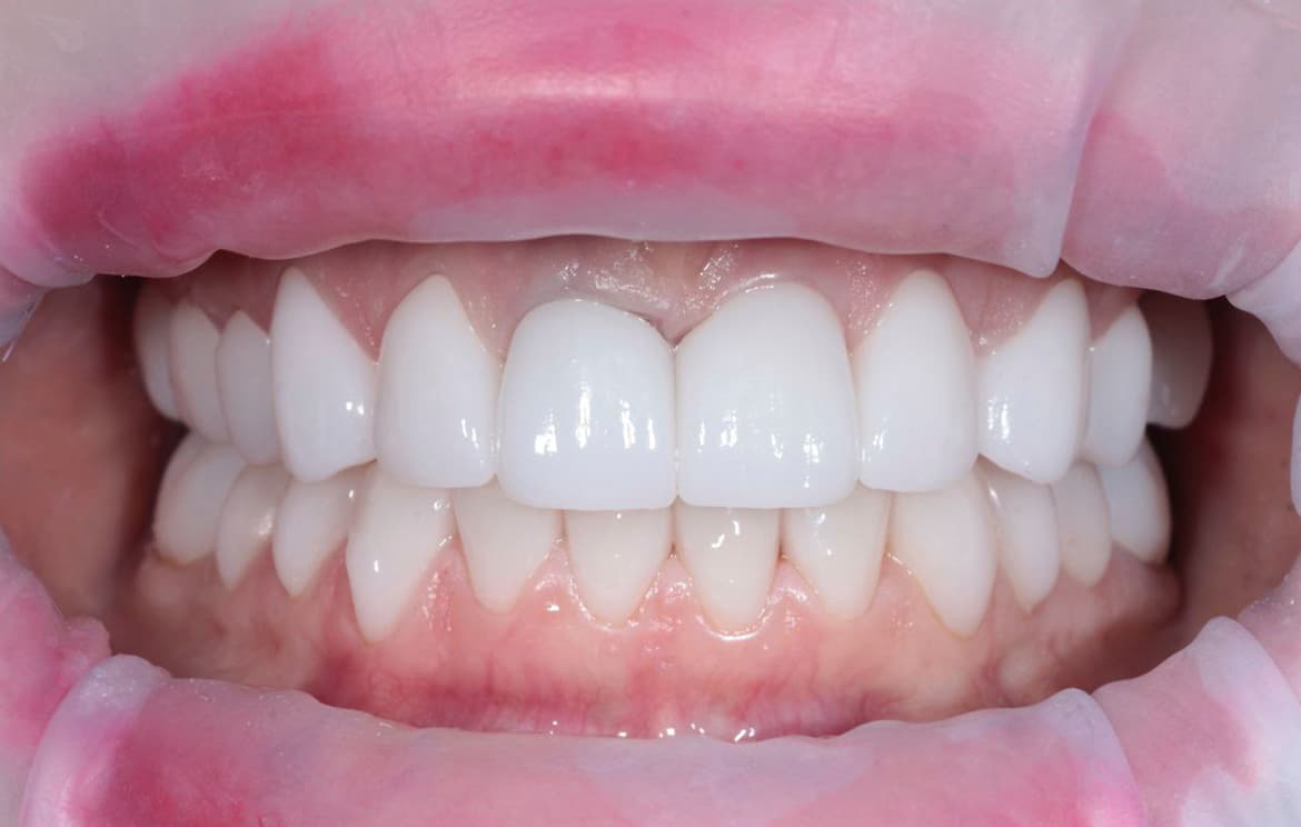
20 керамических виниров E.max, цвет Bleach 1
Терапевтическое лечение
Сафонова (Шакирова) Ирина Алексеевна
Терапевт, ортопед
Виниры e.max
от 39 500 ₽
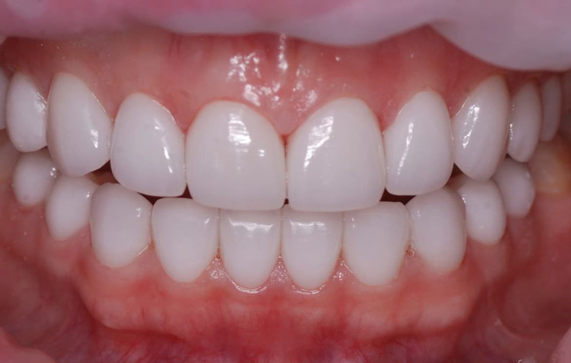
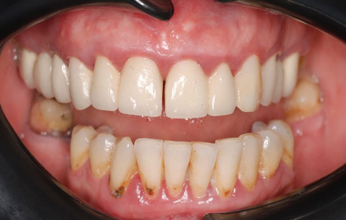
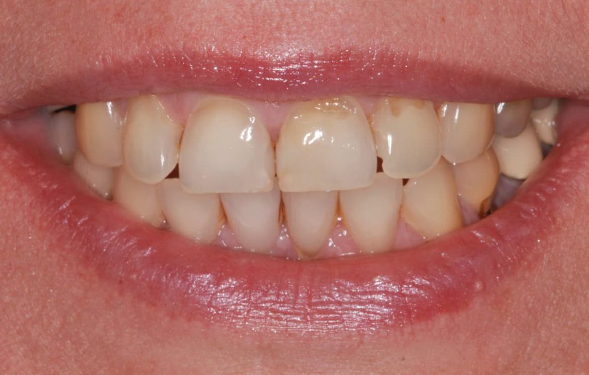
Виниры и отбеливание.
Пациенту проведено лечение пульпита зуба, протезирование зубов, комплексное отбеливание, установка виниров.
Терапевтическое лечение
Сафонова (Шакирова) Ирина Алексеевна
Терапевт, ортопед
Виниры e.max
от 39 500 ₽
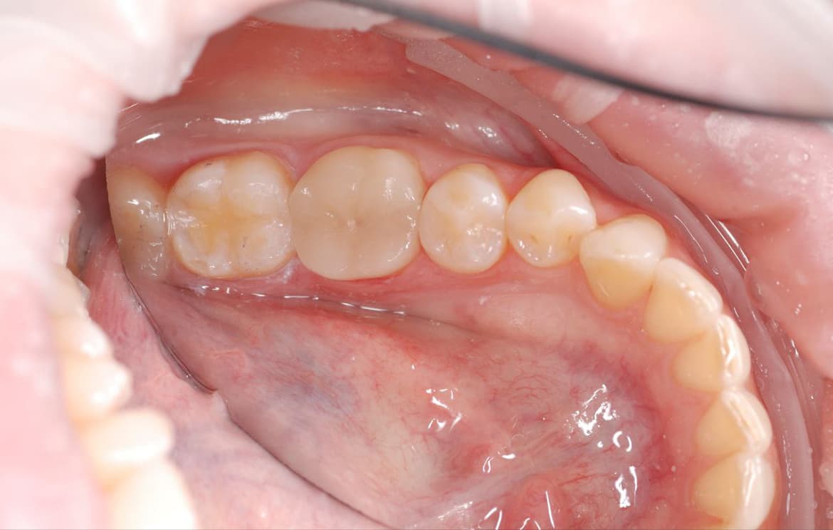
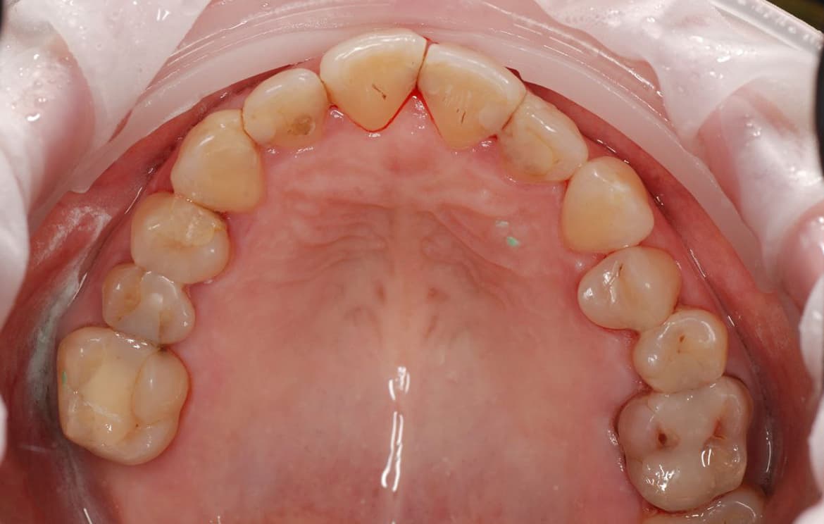
Восстановление зубных рядов реставраций и коронками
Восстановление зубных рядов с помощью реставраций и коронок из диоксида циркония
Терапевтическое лечение
Гурова Марина Алексеевна
Терапевт, ортопед
Циркониевая коронка
от 39 500 ₽
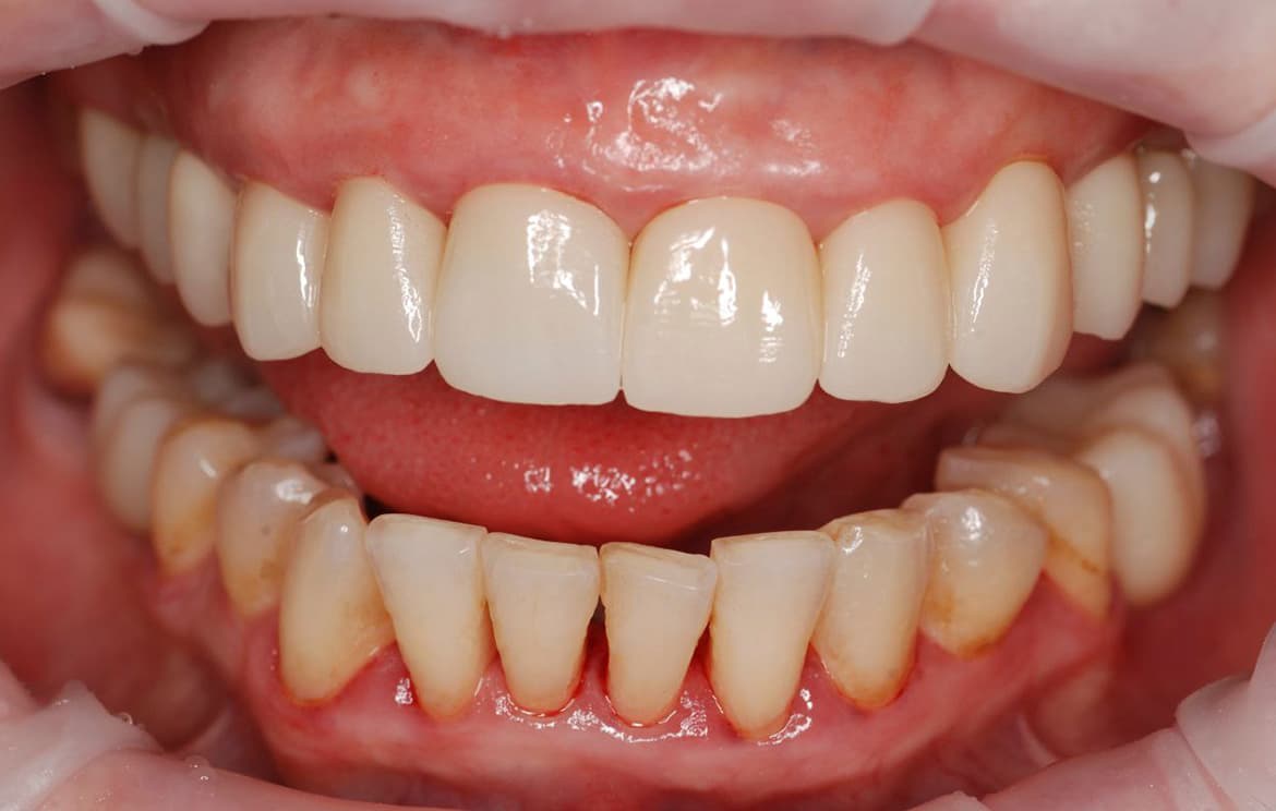
Замена старых коронок на циркониевые с реставрацией
Замена старых коронок на новые коронки из диоксида циркония, реставрация и восстановление утраченных зубов коронками на имплантатах
Терапевтическое лечение
Гурова Марина Алексеевна
Терапевт, ортопед
Циркониевая коронка
от 39 500 ₽
Замена коронок на циркониевые
Замена старых коронок на новые коронки из диоксида циркония, включая работу с височно-нижнечелюстным суставом
Терапевтическое лечение
Гурова Марина Алексеевна
Терапевт, ортопед
Циркониевая коронка
от 39 500 ₽
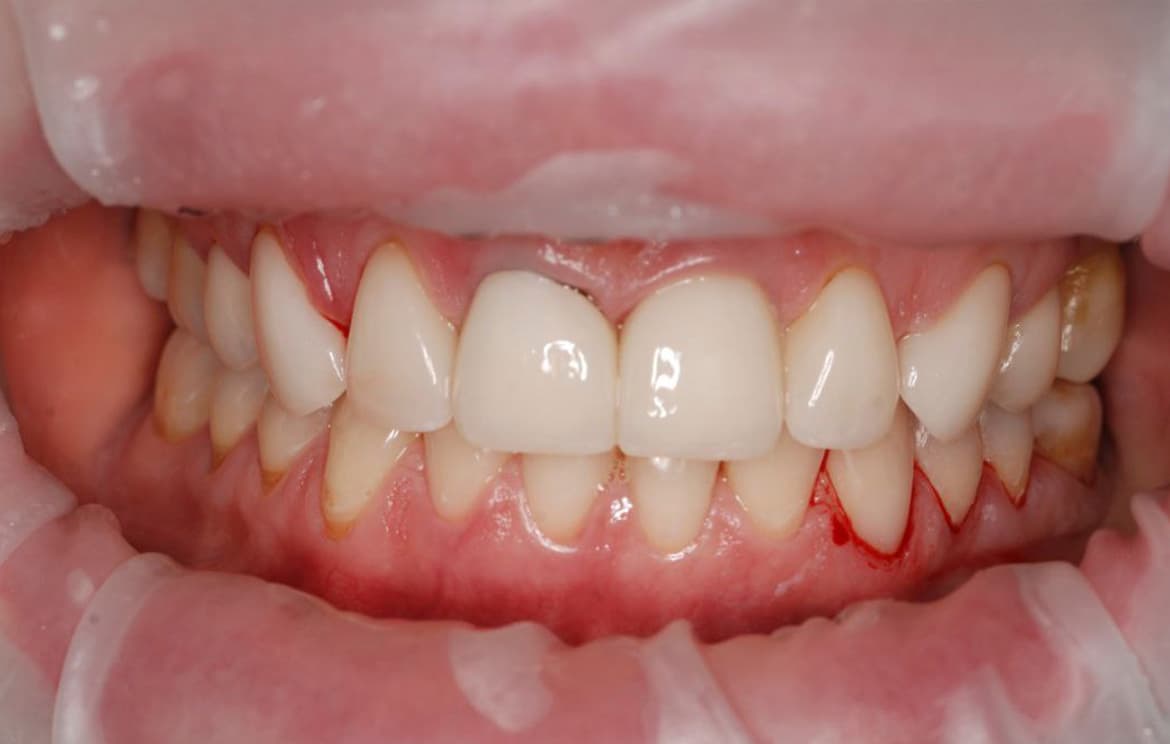
Керамическая вкладка на нижний зуб
Восстановление зуба на нижней челюсти с помощью керамической вкладки
Терапевтическое лечение
Гурова Марина Алексеевна
Терапевт, ортопед
Керамическая накладка
от 40 000 ₽
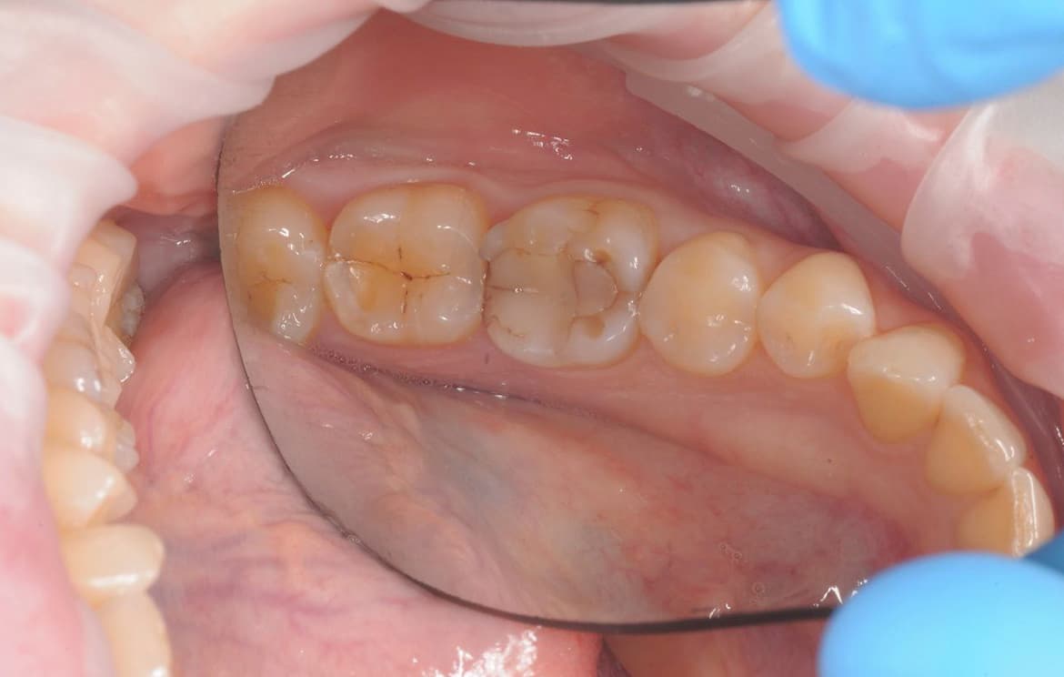
Реставрация и лечение 17 зуба
Реставрация и лечение 17 зуба
Терапевтическое лечение
Ахмедова Диана Александровна
Терапевт
Реставрация зубов
14 000 ₽
Лечение контактных поверхностей и реставрации зубов 45,46
Лечение контактных поверхностей и реставрации зубов 45,46 - финишный этап работы
Терапевтическое лечение
Ахмедова Диана Александровна
Терапевт
Реставрация зубов
14 000 ₽
Зуб 16, реставрация и восстановление поверхности зуба
Лечение зуба 16 , провели реставрацию и восстановление медиальной контактной поверхности зуба
Терапевтическое лечение
Ахмедова Диана Александровна
Терапевт
Реставрация зубов
14 000 ₽


