Наши работы
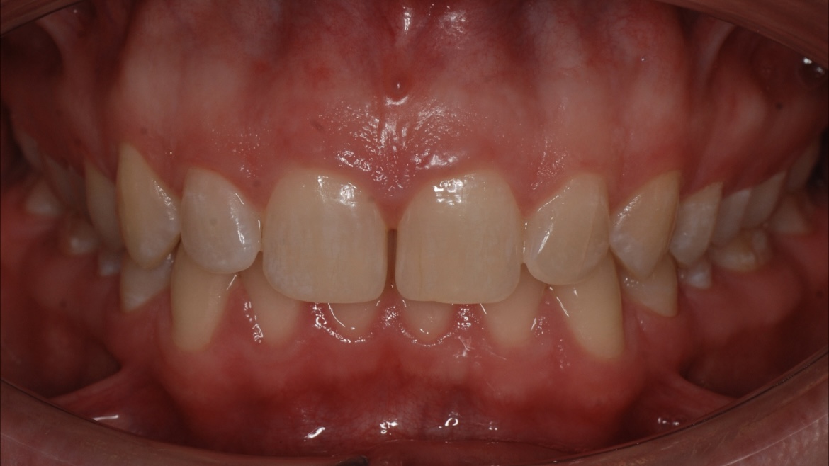
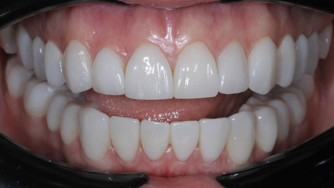
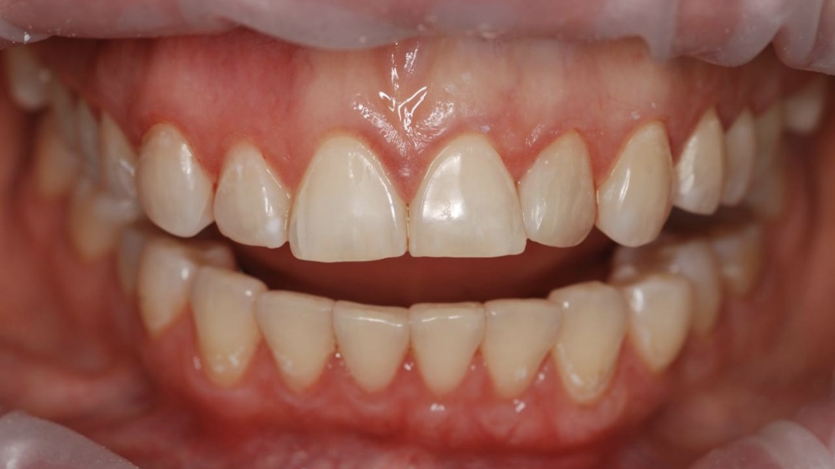
Лечение на брекетах
Лечение на брекетах составило 1 год и 8 месяцев. Расширили зубные дуги. Поставили 1.3 в зубной ряд. Устранили скученность
Ортодонтическое лечение
Елисеева Наталия Сергеевна
Ортодонт
Ортопедическое лечение
Сафонов Михаил Александрович
Главный врач Dental Health Centre, имплантолог, ортопед, гнатолог
Терапевтическое лечение
Ахмедова Диана Александровна
Терапевт
Лечение на брекетах
от 18 000 ₽
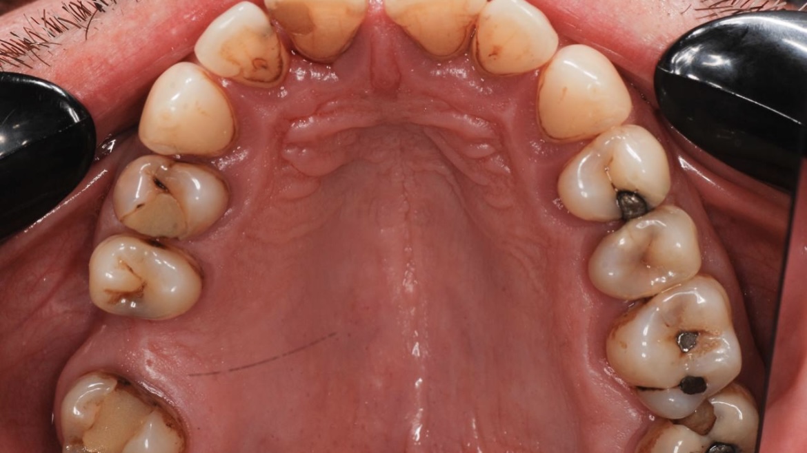
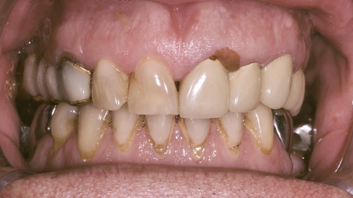
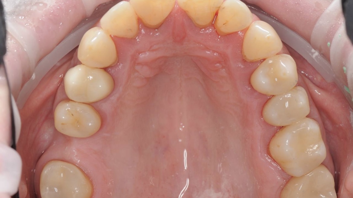
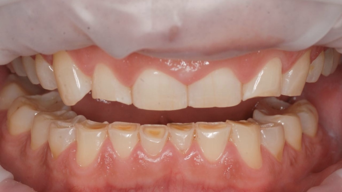
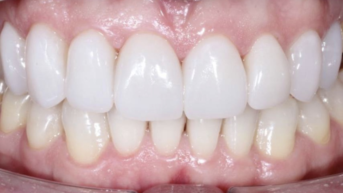
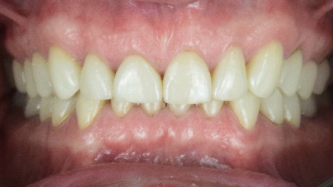
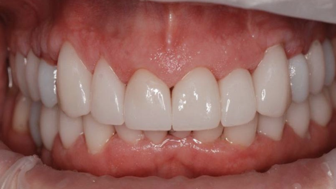
Тотальное протезирование и лечение
Тотальное протезирование в авторском цифровом гнатопротоколе, имплантация, мукогингивальная пластика, лечение зубов и корневых каналов
Ортопедическое лечение
Сафонов Михаил Александрович
Главный врач Dental Health Centre, имплантолог, ортопед, гнатолог
Терапевтическое лечение
Гурова Марина Алексеевна
Терапевт, ортопед
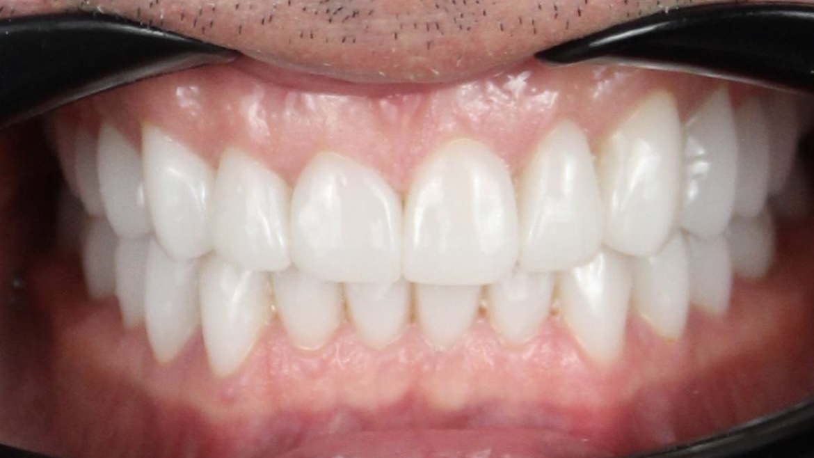
Циркониевая коронка
от 39 500 ₽
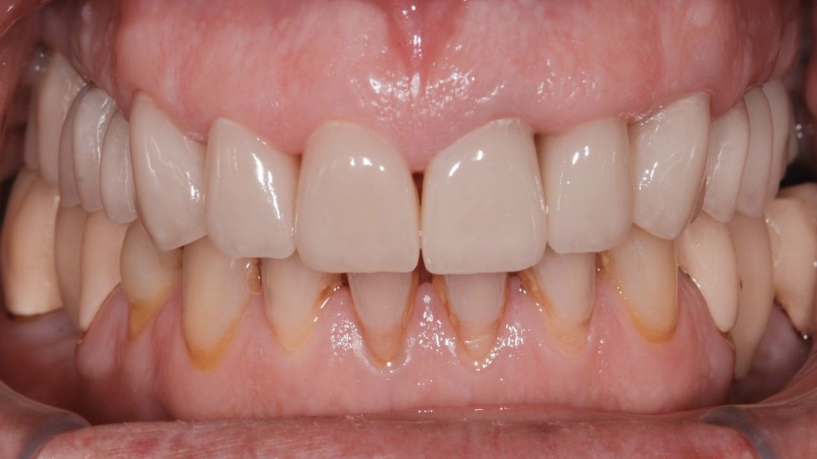
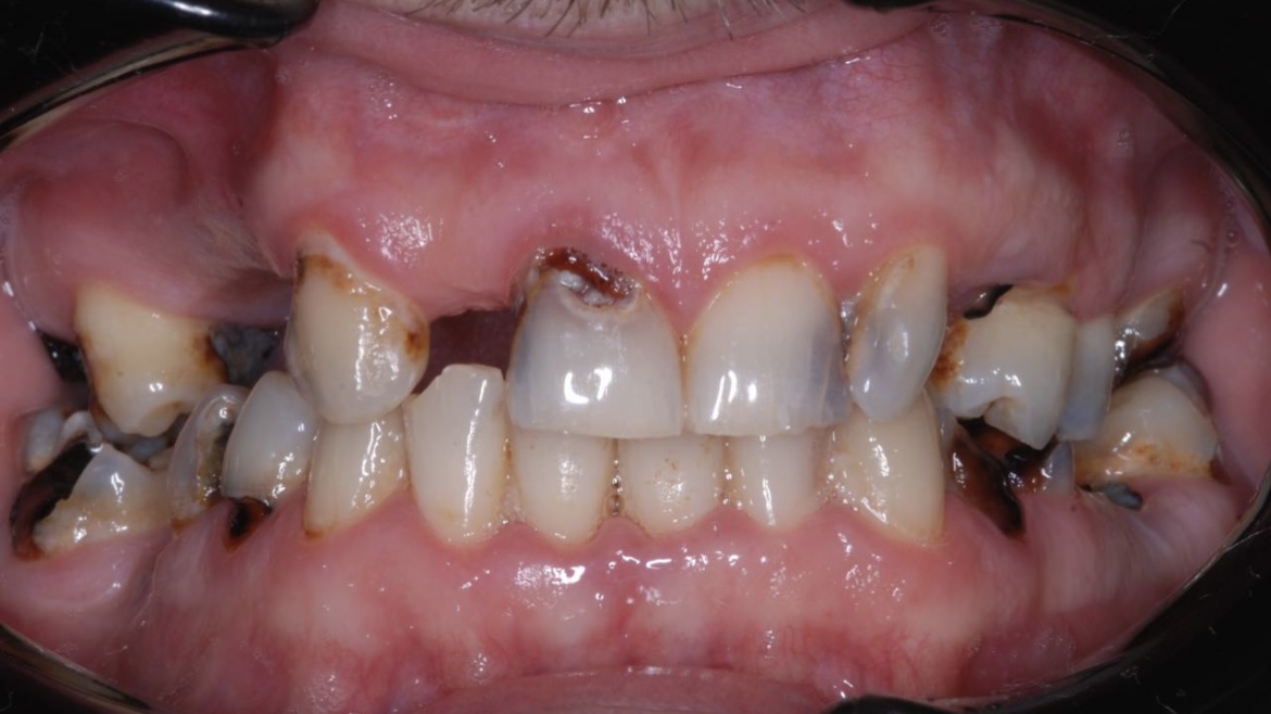
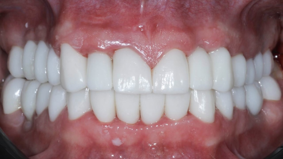
Тотальное протезирование и имплантация
Тотальное протезирование в авторском цифровом гнатопротоколе, имплантация
Ортопедическое лечение
Сафонов Михаил Александрович
Главный врач Dental Health Centre, имплантолог, ортопед, гнатолог
Имплантация зубов
от 59 000 ₽
Тотальное протезирование и лечение
Тотальное протезирование в авторском цифровом гнатопротоколе, имплантация, мукогингивальная пластика, лечение зубов и корневых каналов
Ортопедическое лечение
Сафонов Михаил Александрович
Главный врач Dental Health Centre, имплантолог, ортопед, гнатолог
Терапевтическое лечение
Гурова Марина Алексеевна
Терапевт, ортопед
Имплантация зубов
от 59 000 ₽
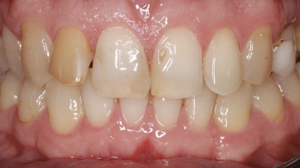
Тотальное протезирование, лечение стираемости
Тотальное протезирование в авторском цифровом гнатопротоколе, лечение генерализованный патологической стираемости зубов
Ортопедическое лечение
Сафонов Михаил Александрович
Главный врач Dental Health Centre, имплантолог, ортопед, гнатолог
Виниры e.max
от 39 500 ₽
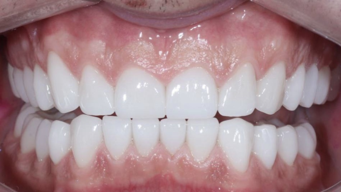
Тотальное протезирование
Тотальное протезирование в авторском цифровом гнатопротоколе
Ортопедическое лечение
Сафонов Михаил Александрович
Главный врач Dental Health Centre, имплантолог, ортопед, гнатолог
Виниры e.max
от 39 500 ₽
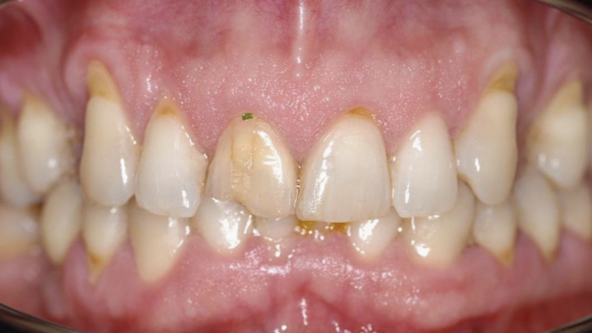
Лечение, реставрация, протезирование
Лечение зубов и корневых каналов, реставрация и протезирование
Терапевтическое лечение
Гурова Марина Алексеевна
Терапевт, ортопед
Терапевтическое лечение
от 7 300 ₽
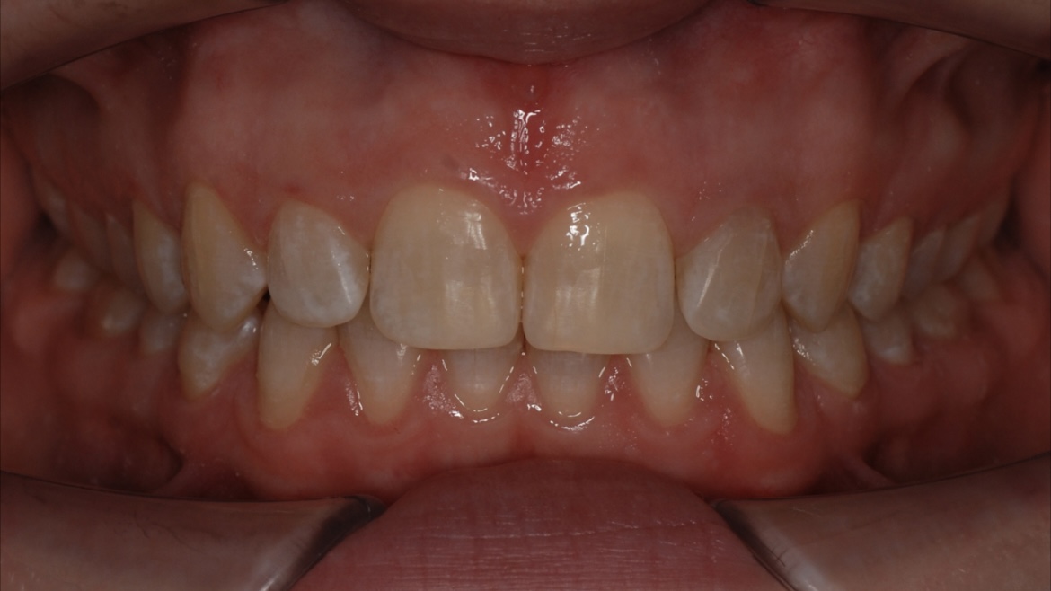
Виниры и лечение
Виниры и отбеливание, лечение зубов и корневых каналов, внутрикоронковое отбеливание
Терапевтическое лечение
Сафонова (Шакирова) Ирина Алексеевна
Терапевт, ортопед
Виниры e.max
от 39 500 ₽
Лечение на элайнерах и реставрация
Впереди коррекция гипермобильности верхней губы у косметолога
Ортодонтическое лечение
Елисеева Наталия Сергеевна
Ортодонт
Ортопедическое лечение
Сафонов Михаил Александрович
Главный врач Dental Health Centre, имплантолог, ортопед, гнатолог
Терапевтическое лечение
Сафонова (Шакирова) Ирина Алексеевна
Терапевт, ортопед
Лечение на элайнерах
от 18 000 ₽
Протезирование и лечение на элайнерах
Тотальное протезирование в авторском цифровом гнатопротоколе, исправление прикуса на элайнерах
Ортопедическое лечение
Сафонов Михаил Александрович
Главный врач Dental Health Centre, имплантолог, ортопед, гнатолог
Циркониевая коронка
от 39 500 ₽


