Наши работы
Лечение контактных поверхностей и реставрации зубов 45,46
Лечение контактных поверхностей и реставрации зубов 45,46 - после полировки
Терапевтическое лечение
Ахмедова Диана Александровна
Терапевт
Реставрация зубов
14 000 ₽
Кариес на дистальной контактной поверхности 45, 46 зуба
Кариес на дистальной контактной поверхности 45 зуба и медиальной , а также жевательной поверхности 46 зуба .
Терапевтическое лечение
Ахмедова Диана Александровна
Терапевт
Лечение кариеса
7 300 ₽
Лечение и реставрация контактной поверхности 36 и 37 зуба
Лечение и реставрация контактной поверхности 36 и 37 зуба
Терапевтическое лечение
Ахмедова Диана Александровна
Терапевт
Терапевтическое лечение
от 7 300 ₽
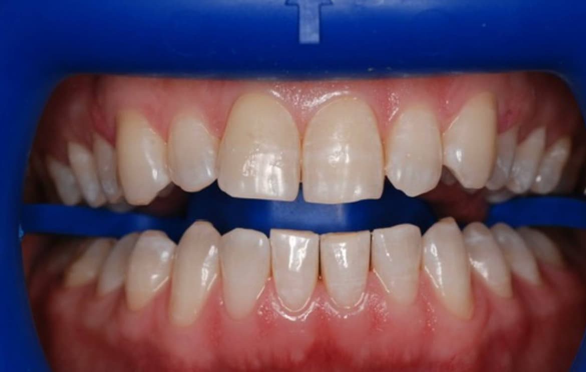
Отбеливание зубов системой Zoom 4
Отбеливание зубов системой Zoom 4
Терапевтическое лечение
Ахмедова Диана Александровна
Терапевт
Отбеливание зубов ZOOM4
39 900 ₽
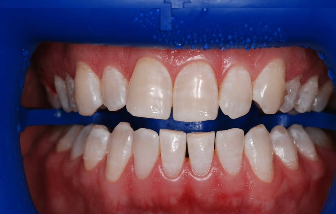
Отбеливание зубов системой Zoom 4
Отбеливание зубов системой Zoom 4
Терапевтическое лечение
Ахмедова Диана Александровна
Терапевт
Отбеливание зубов ZOOM4
39 900 ₽
Отбеливание зубов системой Zoom 4
Отбеливание зубов системой Zoom 4
Терапевтическое лечение
Ахмедова Диана Александровна
Терапевт
Отбеливание зубов ZOOM4
39 900 ₽
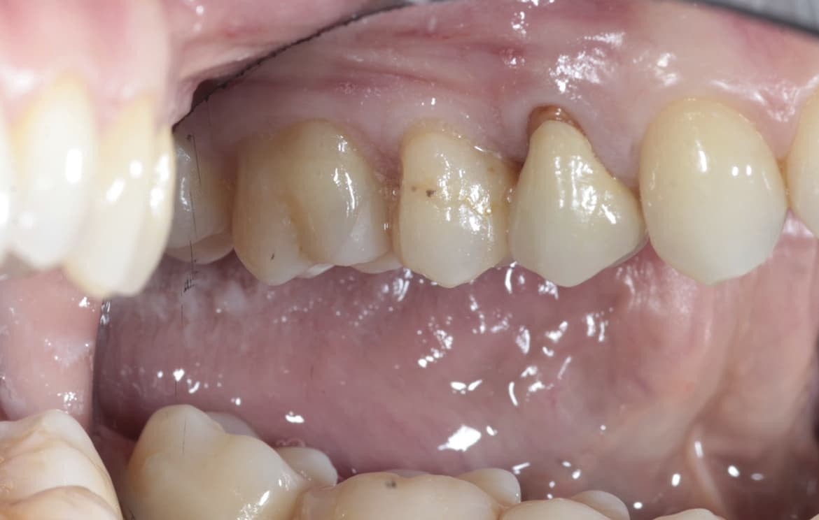
Замена несостоятельной коронки и реставрации
Лечение зуба 2.5 и замена несостоятельной коронки 2.4 из диоксида циркония
Ортопедия и гигиена
Рубан Анна Сергеевна
Ортопед
Консультация врача-стоматолога
2 000 ₽
Восстановление зубных рядов коронками на имплантатах
Установка коронок на имплантате зубы 4.6,4.7
Ортопедия и гигиена
Рубан Анна Сергеевна
Ортопед
Имплантация зубов
от 59 000 ₽
Отбеливание зубов ZOOM
Проведена профессиональная гигиена полости рта с последующим отбеливанием системой Philips Zoom 4
Ортопедия и гигиена
Рубан Анна Сергеевна
Ортопед
Отбеливание зубов ZOOM4
39 900 ₽
Комплексная гигиена полости рта
Удаление наддесневых и поддесневых зубных отложений, темного налета, полировка и фторирование зубов
Ортопедия и гигиена
Рубан Анна Сергеевна
Ортопед
Отбеливание зубов
от 30 000 ₽


