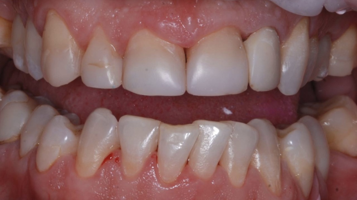
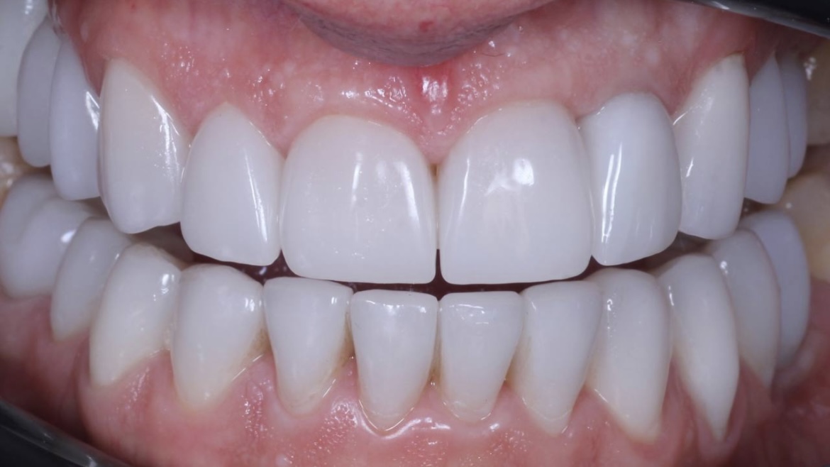
Наши работы
Тотальное протезирование, лечение и имплантация
Комплексное лечение
Ортопедическое лечение
Сафонов Михаил Александрович
Главный врач Dental Health Centre, имплантолог, ортопед, гнатолог
Терапевтическое лечение
Сафонова (Шакирова) Ирина Алексеевна
Терапевт, ортопед
Имплантация Neodent
от 59 000 ₽


