Наши работы
Восстановление зубов коронками
Восстановление зубных рядов помощью керамических коронок из материала е-max
Ортопедия и гигиена
Рубан Анна Сергеевна
Ортопед
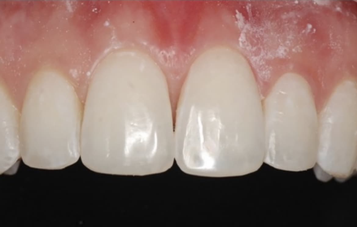
Виниры e.max
от 39 500 ₽
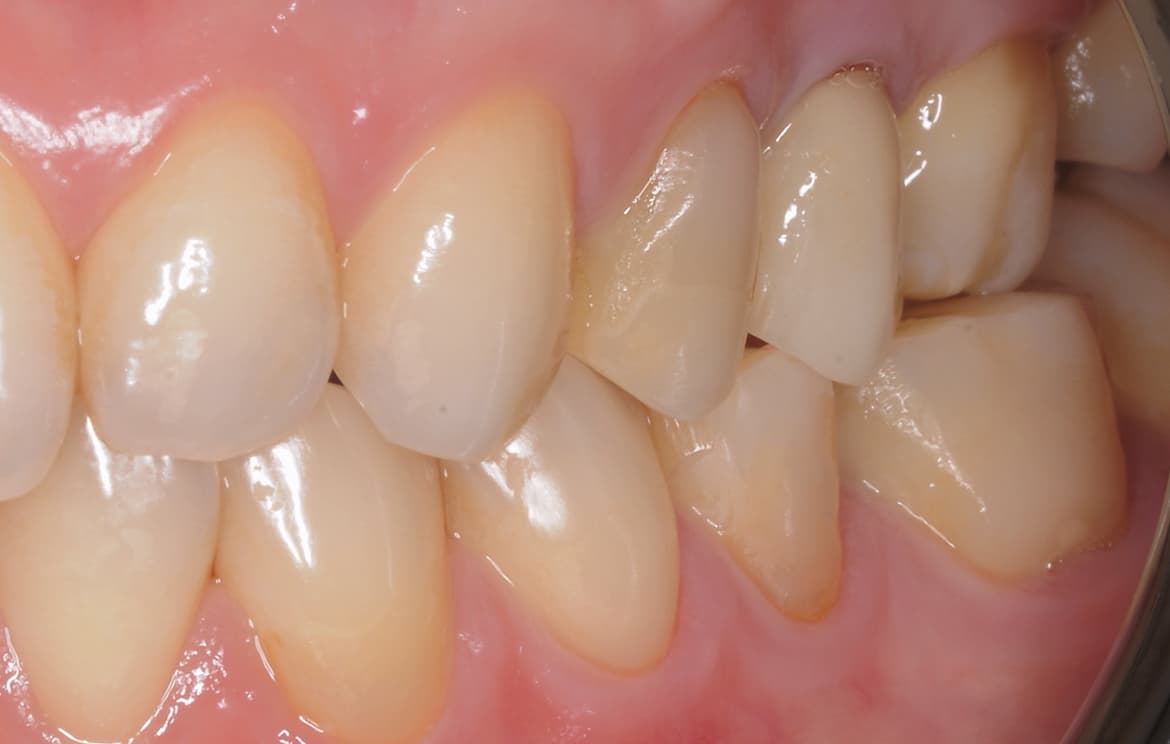
Восстановление зубов 2.4,3.5,3.6
После эндодонтического лечения восстановили сильно разрушенные и стертые зубы керамическими коронками
Ортопедия и гигиена
Рубан Анна Сергеевна
Ортопед
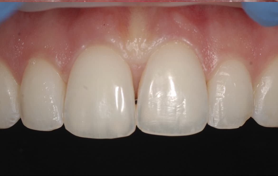
Керамическая коронка
от 39 000 ₽
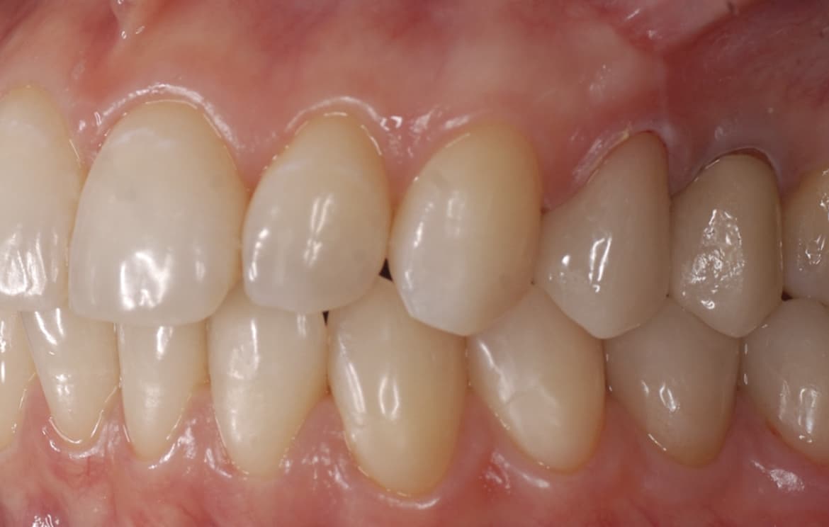
Реставрация зубов 11,21
После ортодонтического лечения восстановили эстетику зубов и нарастили режущий край
Ортопедия и гигиена
Рубан Анна Сергеевна
Ортопед
Реставрация зубов
14 000 ₽
Профгигиена, пародонтологический этап, замена керамики
Смотреть подробнее – полное описание кейса.
Ортопедическое лечение
Сафонов Михаил Александрович
Главный врач Dental Health Centre, имплантолог, ортопед, гнатолог
Профессиональная гигиена полости рта
от 6 250 ₽
Сплинт-терапия, замена старой керамики
Смотреть подробнее – полное описание кейса.
Ортопедическое лечение
Сафонов Михаил Александрович
Главный врач Dental Health Centre, имплантолог, ортопед, гнатолог
Сплинт терапия
50 000 ₽
Ортодонтическое лечение и тотальное протезирование
Смотреть подробнее – полное описание кейса.
Ортопедическое лечение
Сафонов Михаил Александрович
Главный врач Dental Health Centre, имплантолог, ортопед, гнатолог
Терапевтическое лечение
Ахмедова Диана Александровна
Терапевт
Протезирование зубов
от 39 500 ₽
Комплексное лечение: терапия, ортодонтия, сплинт-терапия
Смотреть подробнее – полное описание кейса.
Ортопедическое лечение
Сафонов Михаил Александрович
Главный врач Dental Health Centre, имплантолог, ортопед, гнатолог
Ортодонтическое лечение
Елисеева Наталия Сергеевна
Ортодонт
Терапевтическое лечение
Ахмедова Диана Александровна
Терапевт
Терапевтическое лечение
Гурова Марина Алексеевна
Терапевт, ортопед
Терапевтическое лечение
от 7 300 ₽
Тотальное протезирование, лечение, сплинт-терапия
Тотальное протезирование, материал диоксид циркония, цвет Bleach 2, через контроль стабильной позиции нижней челюсти и подтверждением результата на КЛКТ.
Ортопедическое лечение
Сафонов Михаил Александрович
Главный врач Dental Health Centre, имплантолог, ортопед, гнатолог
Терапевтическое лечение
Ахмедова Диана Александровна
Терапевт
Протезирование зубов
от 39 500 ₽
Комплексное лечение и тотальное протезирование
Диагноз - пародонтит тяжелой степени. Проведены: профессиональная гигиена, пародонтологические реконструктивные операции, тотальное протезирование.
Ортопедическое лечение
Сафонов Михаил Александрович
Главный врач Dental Health Centre, имплантолог, ортопед, гнатолог
Терапевтическое лечение
Ахмедова Диана Александровна
Терапевт
Ортопедия и гигиена
Рубан Анна Сергеевна
Ортопед
Протезирование зубов
от 39 500 ₽
Лечение на элайнерах
Лечение составило 1 год и 8 месяцев
Ортодонтическое лечение
Елисеева Наталия Сергеевна
Ортодонт
Хирургическое лечение
Бородай Артём Валентинович
Хирург
Ортопедия и гигиена
Рубан Анна Сергеевна
Ортопед
Терапевтическое лечение
Ахмедова Диана Александровна
Терапевт
Лечение на элайнерах
от 18 000 ₽


