DH Centre
DHC
Цифровая стоматология

Наши работы

Детская стоматология

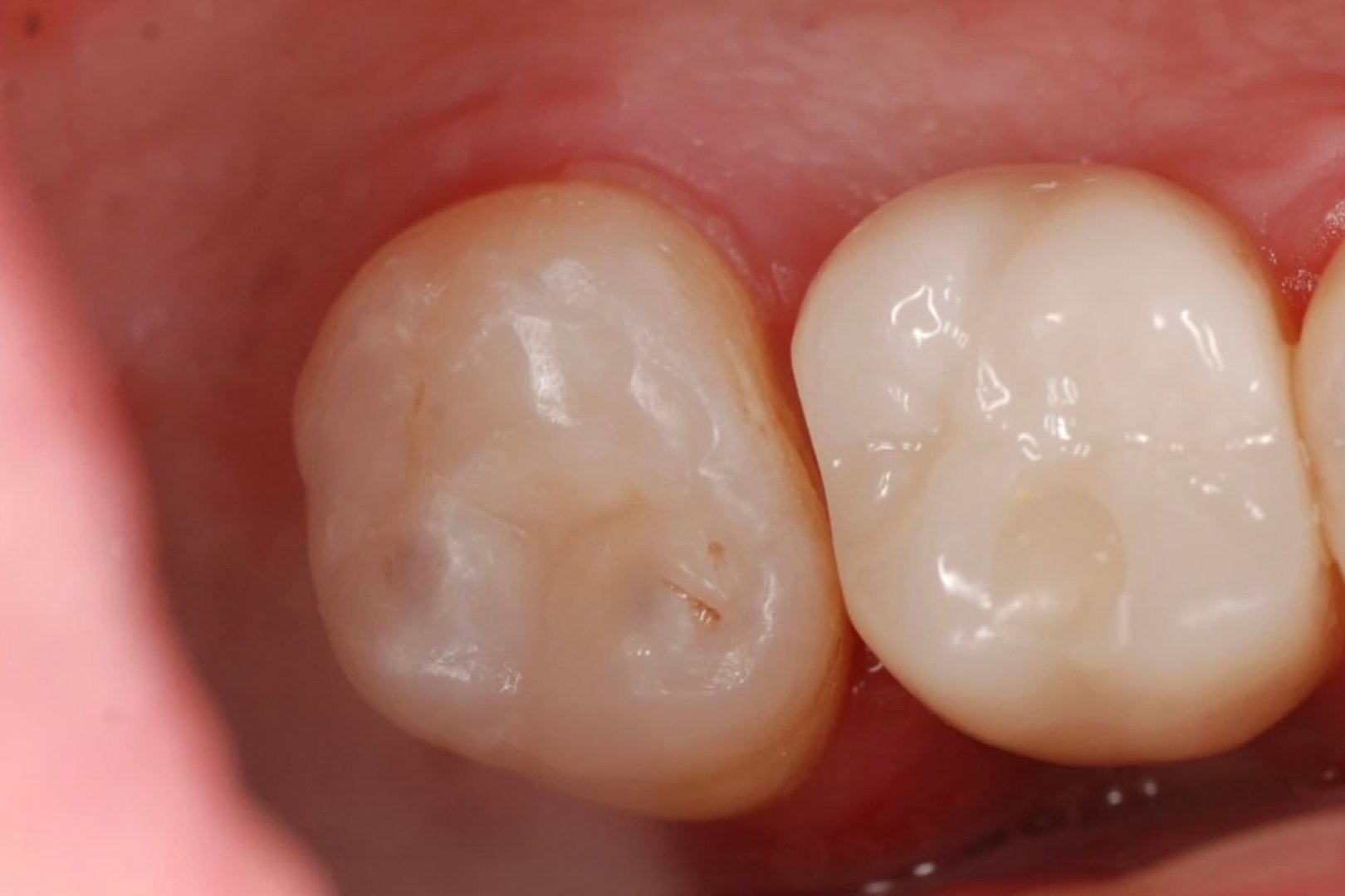
Профессиональная гигиена и фторирование у ребёнка 7 лет

Детская гигиена. Клинический случай из раздела наших работ.

Подробнее →
Детская гигиена
5 300 ₽
Виниры

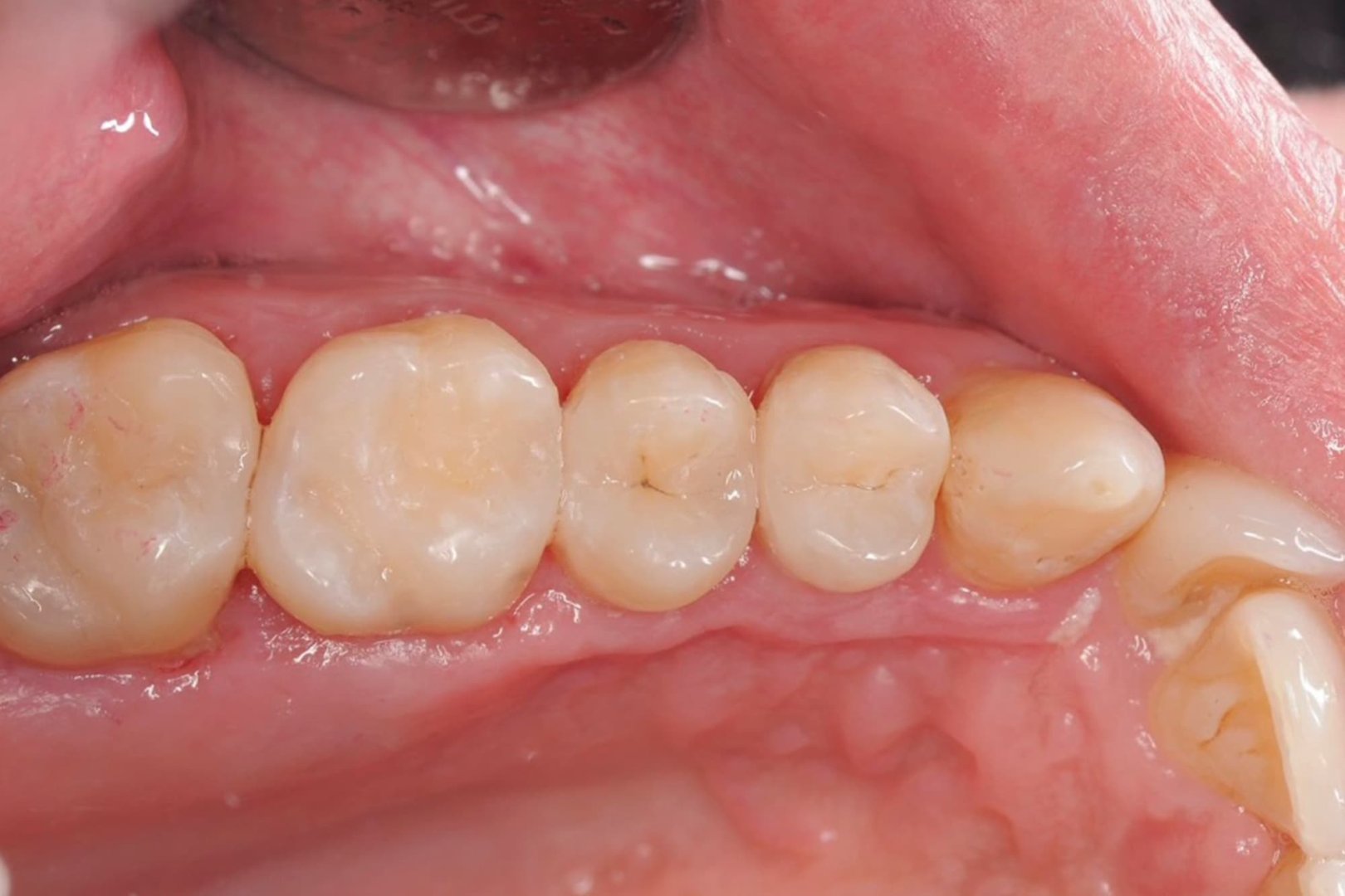
Лечение кариеса трех зубов

20 керамических виниров E.max, цвет Bleach 1

Подробнее →
Виниры e.max
39 500 ₽
Виниры

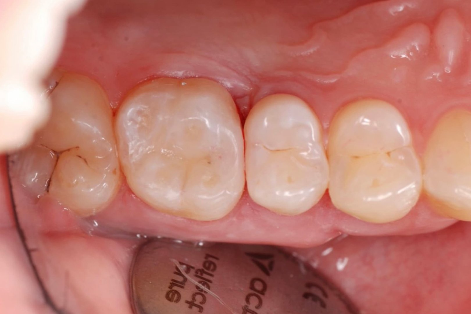
Виниры и отбеливание.

Пациенту проведено лечение пульпита зуба, протезирование зубов, комплексное отбеливание, установка виниров.

Подробнее →
Виниры e.max
39 500 ₽
Коронки

Восстановление зубных рядов реставраций и коронками

Восстановление зубных рядов с помощью реставраций и коронок из диоксида циркония

Подробнее →
После
До
До
После
Циркониевая коронка
39 500 ₽
Коронки

Замена старых коронок на циркониевые с реставрацией

Замена старых коронок на новые коронки из диоксида циркония, реставрация и восстановление утраченных зубов коронками на имплантатах

Подробнее →
После
До
До
После
Циркониевая коронка
39 500 ₽
Коронки

Замена коронок на циркониевые

Замена старых коронок на новые коронки из диоксида циркония, включая работу с височно-нижнечелюстным суставом

Подробнее →
После
До
До
После
Циркониевая коронка
39 500 ₽